Ung thư dịch màng: bước tiến mới trong chẩn đoán ung thư không cần sinh thiết
Ung thư “bể nước” là dạng ung thư hiếm, khi tế bào ác tính xuất hiện trong dịch màng phổi hay ổ bụng. Các xét nghiệm tế bào học, miễn dịch và gen giúp truy tìm nguồn gốc khối u.
Trong y học hiện đại, khái niệm "ung thư bể nước" đang thu hút nhiều sự quan tâm của giới chuyên môn. Đây là thuật ngữ mô tả tình trạng các tế bào ung thư xuất hiện trong dịch màng phổi, dịch ổ bụng hay dịch màng tim – những "bể nước" tự nhiên trong cơ thể. Dù không phải là khối u đặc như ung thư gan hay phổi, nhưng các dịch này lại chứa vô số thông tin quan trọng giúp bác sĩ xác định bản chất, nguồn gốc và hướng điều trị của bệnh ung thư.
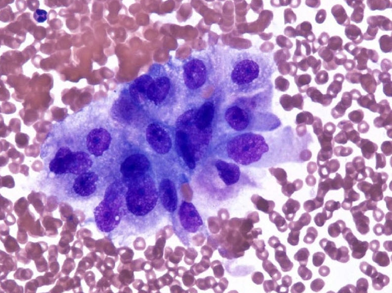
Hình ảnh tế bào ung thư được phát hiện trong mẫu dịch màng phổi qua kính hiển vi tế bào học.
Khi "bể nước" trở thành bằng chứng ung thư
Ở người khỏe mạnh, các khoang màng trong cơ thể chỉ chứa một lượng dịch rất nhỏ, giúp bôi trơn và bảo vệ các cơ quan. Khi xuất hiện tế bào ung thư, cơ thể phản ứng bằng cách tăng tiết dịch, dẫn tới hiện tượng tràn dịch màng phổi, cổ trướng hoặc tràn dịch màng tim. Trong các dịch này, bác sĩ có thể phát hiện tế bào ung thư tiên phát – dấu hiệu khẳng định khối u đã xâm lấn hoặc di căn.
Không chỉ giúp phát hiện ung thư, dịch cơ thể còn là "kho dữ liệu sinh học" quý giá. Bên trong đó chứa tế bào khối u, DNA tự do, protein và các dấu ấn sinh học, cho phép thực hiện những xét nghiệm tinh vi mà không cần phải sinh thiết mô, đặc biệt hữu ích khi khối u nằm ở vị trí khó tiếp cận.
Làm sao xác định nguồn gốc tế bào ung thư?
Khi phát hiện tế bào ác tính trong dịch, bác sĩ phải trả lời ba câu hỏi then chốt:
- Dịch này có thật sự do ung thư gây ra hay chỉ là phản ứng viêm thông thường?
- Nguồn gốc khối u xuất phát từ cơ quan nào?
- Liệu có thể xác định đột biến gen hoặc đích điều trị trúng đích để chọn thuốc phù hợp hay không?
Để trả lời, các chuyên khoa giải phẫu bệnh và sinh học phân tử phối hợp theo quy trình nhiều bước.
Bước 1: Tế bào học – quan sát hình thái
Mẫu dịch đầu tiên được ly tâm, nhuộm và soi dưới kính hiển vi để nhận biết hình thái tế bào. Những tế bào ung thư thường có nhân lớn, nhiều hạt nhân, ranh giới bào tương mờ, tạo thành từng cụm hoặc phân tán bất thường. Tuy nhiên, ở giai đoạn sớm hoặc khi tế bào bị biến dạng, việc phân biệt giữa tế bào ung thư và tế bào phản ứng có thể khó khăn. Vì thế, bác sĩ thường tạo "khối tế bào" (cell block) từ cặn dịch để xét nghiệm chuyên sâu hơn.
Bước 2: Miễn dịch mô học – tìm dấu vết của cơ quan gốc
Từ cell block, các chuyên gia sử dụng kỹ thuật nhuộm miễn dịch (IHC) để tìm các "dấu ấn đặc trưng" giúp nhận diện loại tế bào.
Nếu tế bào dương tính với Cytokeratin hoặc Claudin-4, nhiều khả năng là ung thư biểu mô (carcinoma).
Nếu dương tính với Calretinin hay WT1, có thể là u trung biểu mô (mesothelioma).
Các marker đặc hiệu khác giúp xác định cơ quan gốc:
TTF-1, Napsin A: gợi ý ung thư phổi.
GATA3, Mammaglobin: đặc trưng cho ung thư vú.
PAX8, WT1: thường thấy ở ung thư buồng trứng.
CDX2, CK20: liên quan đến ung thư đường tiêu hóa.
PSA, PSAP: chỉ dấu của ung thư tuyến tiền liệt.
Việc kết hợp các marker dương – âm song song giúp tăng độ chính xác, đồng thời cần đặt trong bối cảnh lâm sàng, hình ảnh học và tiền sử bệnh nhân.
Bước 3: Giải mã gen – khi "nước" tiết lộ DNA của ung thư
Một trong những tiến bộ nổi bật của y học ung thư hiện nay là phân tích DNA tự do (cfDNA) có trong dịch cơ thể. Khác với máu, cfDNA trong dịch màng phổi hoặc ổ bụng thường chứa tỷ lệ DNA khối u cao hơn, giúp phát hiện chính xác hơn các đột biến gen như EGFR, KRAS, BRAF hay HER2.
Kỹ thuật giải trình tự gen thế hệ mới (NGS) cho phép đọc toàn bộ bản đồ đột biến trong mẫu dịch, từ đó xác định nguồn gốc mô bệnh hoặc tìm đích điều trị nhắm trúng. Trong nhiều trường hợp, chỉ cần phân tích dịch mà không cần sinh thiết mô, bác sĩ vẫn có thể đưa ra phác đồ điều trị tối ưu.
Ngoài ra, việc phân tích methyl hóa DNA hoặc biểu hiện RNA cũng có thể gợi ý cơ quan phát sinh của ung thư, đặc biệt hữu ích khi kết quả miễn dịch mô học chưa đủ rõ ràng.
Bác sĩ sinh học phân tử phân tích DNA khối u từ mẫu dịch ổ bụng để xác định nguồn gốc và đột biến gen.
Khi nào cần làm xét nghiệm phân tử?
Không phải trường hợp nào cũng cần NGS hay xét nghiệm gen. Các chuyên gia khuyến cáo chỉ nên thực hiện khi:
- Mô tổn thương khó sinh thiết hoặc bệnh nhân không thể phẫu thuật;
- Nghi ngờ ung thư di căn nhưng chưa rõ nguồn gốc;
- Kết quả có thể ảnh hưởng đến lựa chọn điều trị (ví dụ, thuốc nhắm EGFR, ALK, HER2…).
Thách thức trong thực hành
Xét nghiệm dịch cơ thể đòi hỏi quy trình chuẩn hóa nghiêm ngặt. Nếu bảo quản không đúng, tế bào sẽ bị hủy, dẫn đến kết quả âm tính giả. Ngoài ra, chi phí cho các xét nghiệm gen còn cao, nên việc chọn bệnh nhân phù hợp là yếu tố quan trọng.
Một số trường hợp, kết quả marker có thể chồng chéo – ví dụ WT1 dương tính ở cả mesothelioma và ung thư buồng trứng – vì thế cần đánh giá tổng hợp nhiều chỉ dấu cùng lúc để tránh nhầm lẫn.
Hy vọng từ "bể nước"
Với sự phát triển của sinh học phân tử, các dịch cơ thể không còn chỉ là dấu hiệu của bệnh nặng mà trở thành "cửa sổ sinh học" phản ánh tình trạng khối u. Kết hợp giữa tế bào học, miễn dịch mô học và phân tích gen giúp bác sĩ xác định chính xác nguồn gốc ung thư, tiên lượng bệnh và lựa chọn thuốc điều trị trúng đích.
Nhờ vậy, nhiều bệnh nhân trước đây không thể xác định khối u nguyên phát, nay đã có thêm cơ hội điều trị hiệu quả hơn, kéo dài thời gian sống và cải thiện chất lượng cuộc sống.
Ung thư "bể nước" ngoài máu là minh chứng cho thấy dịch cơ thể không chỉ là hệ quả của bệnh lý mà còn là công cụ chẩn đoán hiện đại. Mỗi giọt dịch thu được đều ẩn chứa thông tin quý giá, giúp bác sĩ "giải mã" bí ẩn của khối u, từ đó mở ra hướng điều trị cá thể hóa – bước tiến lớn trong hành trình chống lại ung thư.
Tin nổi bật
- Hơn 180.000 ca mắc mới mỗi năm, ung thư là nguyên nhân tử vong thứ hai tại Việt Nam
04/12/2025 - 17:33:42
- Một năm khàn tiếng không rõ lý do, người đàn ông Hà Lan được bác sĩ Việt Nam phát hiện u hạt thanh quản
28/11/2025 - 14:50:20
- Đau lưng kéo dài, người đàn ông 60 tuổi phát hiện ung thư thận hiếm gặp
27/11/2025 - 17:13:49
- Giải cứu khuôn mặt biến dạng 10 năm vì khối u men răng khổng lồ
26/11/2025 - 17:28:00
- Không chỉ thuốc trị ung thư của Nga, còn hai thuốc chữa ung thư nữa cũng được cấp phép trong đợt này
18/11/2025 - 23:15:37
- Phát hiện bệnh ở tuổi 96, cụ bà quyết tâm điều trị chiến thắng ung thư dạ dày
14/11/2025 - 23:46:27
